Bọc răng sứ thẩm mỹ: Khi nào nên và khi nào là sai lầm?

Những năm gần đây, bọc răng sứ thẩm mỹ được ưa chuộng nhờ cải thiện nụ cười nhanh. Tuy nhiên, nhiều trường hợp gặp ê buốt, sai khớp cắn do bọc sứ khi không thật sự cần thiết.

Bác sĩ CKI Trần Lan Anh - Bác sĩ có trên 16 năm kinh nghiệm phục hình thẩm mỹ, Chuyên gia thiết kế nụ cười tại Platinum Dental nhận định: “Sai lầm lớn nhất khi làm răng sứ không phải chọn nhầm dòng sứ, mà là chọn sai chỉ định. Có trường hợp thì làm veneer là đủ đẹp, có những khuyết điểm về khớp cắn, răng lệch lạc nhiều cần chỉnh nha, và cũng có răng buộc phải bọc mão sứ. Bọc sứ không dành cho tất cả và càng không thể làm theo phong trào.”

1 (1)

Bác sĩ CKI Trần Lan Anh - Bác sĩ phục hình thẩm mỹ, chuyên gia thiết kế nụ cười tại Platinum Dental

Khi nào nên bọc răng sứ?

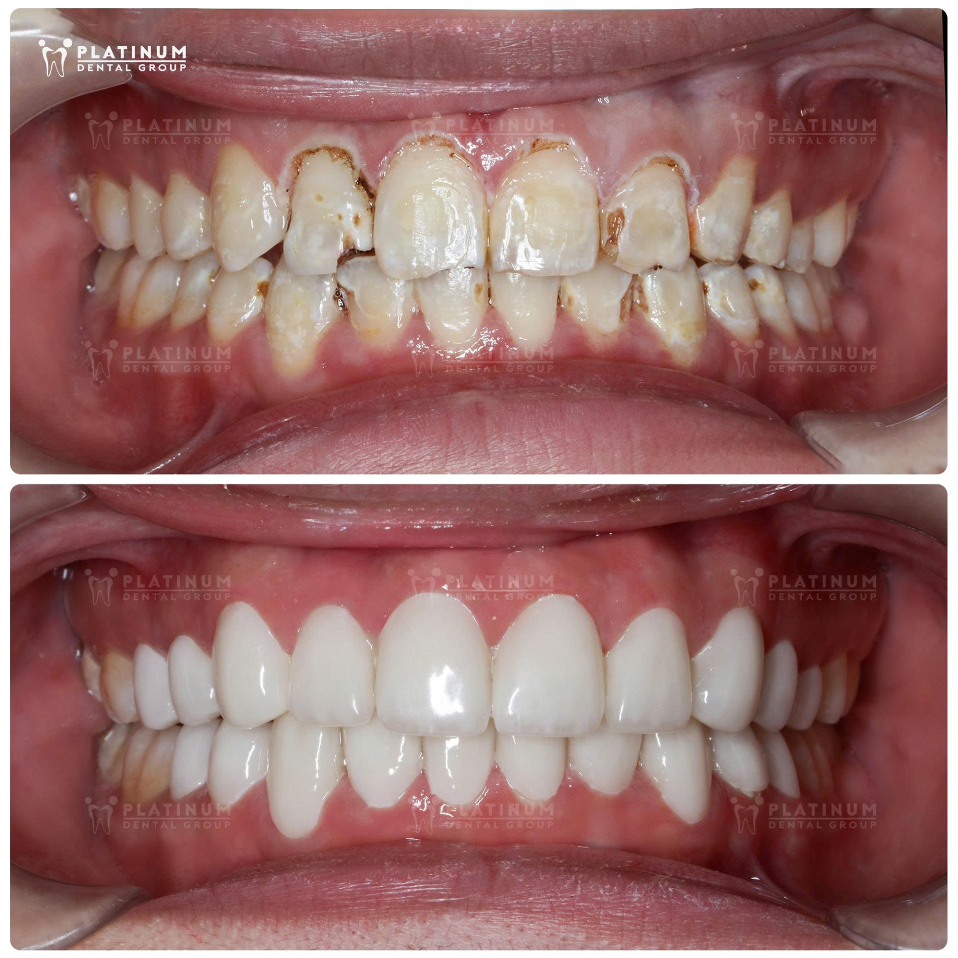
Theo các chuyên gia, bọc răng sứ thẩm mỹ chỉ mang lại hiệu quả khi được chỉ định đúng. Phương pháp này phù hợp trong những trường hợp răng đã điều trị tủy cần tăng độ bền; răng hư tổn nặng do sâu lớn, mẻ vỡ nhiều hoặc men yếu không thể phục hồi bằng trám; răng thiểu sản men, dễ vỡ, nhạy cảm và không thể duy trì chức năng ăn nhai ổn định; răng nhiễm màu nặng (tetracycline) mà tẩy trắng hoặc veneer không thể cải thiện triệt để; răng có hình thể kém hài hòa, thưa lớn, muốn cải thiện thẩm mỹ trong phạm vi an toàn.

1 (1)

Răng bệnh lý thiểu sản men là trường hợp cần bảo tồn với phương pháp bọc răng sứ

Với những trường hợp này, bọc sứ đóng vai trò như một “lá chắn” bảo vệ mô răng thật, giúp phục hồi khả năng ăn nhai và duy trì sự ổn định của khớp cắn lâu dài nếu được thực hiện đúng kỹ thuật.

Khi nào bọc răng sứ trở thành sai lầm?

Bọc răng sứ có thể gây hậu quả nghiêm trọng nếu áp dụng sai chỉ định hoặc thực hiện tại cơ sở thiếu chuyên môn. Những rủi ro thường gặp gồm mài răng quá mức gây tổn thương mô răng, ê buốt kéo dài hoặc viêm tủy, sai lệch khớp cắn khiến đau hàm - khó ăn nhai, mòn răng đối diện và thậm chí phải tháo làm lại toàn bộ.

Theo Bác sĩ CKI Trần Lan Anh, nguyên nhân phổ biến đến từ việc thăm khám chưa đầy đủ, bỏ qua tình trạng tủy răng và phân tích khớp cắn trước khi phục hình. “Bọc sứ sai chỉ định có thể để lại tổn thương lâu dài, việc khắc phục về sau rất phức tạp và đòi hỏi bác sĩ phải có kinh nghiệm vững,” bác sĩ cho biết.

Hai trường hợp điển hình: Bọc sứ không phải lúc nào cũng là lựa chọn tối ưu

Trong thực tế điều trị, không phải lúc nào bọc răng sứ cũng là lựa chọn tối ưu, và hai trường hợp BS CK1 Trần Lan Anh chia sẻ tại nha khoa Platinum Dental là minh chứng rõ ràng cho điều đó.

Trường hợp của chị B.V (TP.HCM) là ví dụ điển hình. Chị từng mong muốn bọc sứ để xử lý răng khểnh nhẹ và cười hở nướu. Tuy nhiên, sau thăm khám, bác sĩ nhận định răng chị hoàn toàn khỏe mạnh và tư vấn chỉnh nha để bảo tồn răng thật. Kết quả là nụ cười hài hòa, khớp cắn ổn định lâu dài mà không cần mài răng.

2 (1)

Kết quả sau chỉnh nha của chị B.V (Ảnh: Platinum Dental)

Ngược lại, trường hợp Q.H bị thiểu sản men răng bẩm sinh lại cần bọc sứ để bảo vệ răng. Dù đã chỉnh nha, răng vẫn thường xuyên mẻ vỡ, ảnh hưởng lớn đến ăn nhai. Bác sĩ đã phục hình sứ theo hướng cá nhân hóa, kết hợp Veneer và mão sứ tùy từng răng, giúp củng cố cấu trúc và ngăn tổn thương tiếp diễn.

3 (1)

Hai trường hợp với hai hướng điều trị khác nhau cho thấy: chỉ khi đánh giá đúng tình trạng, bác sĩ mới đưa ra được phương án phù hợp nhất. Làm sứ có thể rất tốt, nhưng phải dành cho đúng người và đúng thời điểm, thay vì áp dụng theo trào lưu. Với những ca cần bảo tồn răng thật, giải pháp nhẹ nhàng luôn được ưu tiên, còn với những răng đã hư tổn thật sự, phục hình mão sứ đúng kỹ thuật sẽ là lựa chọn an toàn và bền vững.

Vì sao chỉ định đúng lại quan trọng khi làm răng sứ?

Trong phục hình thẩm mỹ, yếu tố quyết định không nằm ở loại sứ đắt tiền, mà ở chẩn đoán chính xác và lựa chọn giải pháp phù hợp. Với khuyết điểm nhẹ, Veneer thường là phương án bảo tồn tối ưu. Với răng lệch lạc, hô móm, chỉnh nha vẫn là hướng điều trị an toàn hơn. Bọc sứ chỉ nên là giải pháp sau cùng cho răng đã suy yếu hoặc tổn thương nặng.

Tại các trung tâm nha khoa kỹ thuật cao như Platinum Dental, quy trình phục hình được thực hiện bài bản từ chụp X-quang, scan răng 3D, thiết kế nụ cười số đến kiểm soát mài răng tối thiểu. Sau khi gắn sứ, khớp cắn được kiểm tra bằng hệ thống T-Scan nhằm đảm bảo ăn nhai ổn định, thoải mái lâu dài.

Làm sao biết mình có phù hợp bọc răng sứ?

Bác sĩ Trần Lan Anh cho biết thêm, để biết có nên bọc răng sứ hay không, khách hàng cần được thăm khám đầy đủ, đánh giá tổng quát răng - tủy - khớp cắn. Nguyên tắc chung là ưu tiên phương án ít xâm lấn nhất, chỉ bọc sứ khi các giải pháp bảo tồn không còn phù hợp.

4 (2)

Thăm khám với bác sĩ có chuyên môn về phục hình sứ để được tư vấn phương pháp phù hợp

Tại Platinum Dental, bác sĩ luôn đưa ra nhiều phương án điều trị để khách hàng chủ động lựa chọn, đồng thời minh bạch về lợi ích và rủi ro, cũng như giá bọc răng sứ. Đây cũng là tiêu chí quan trọng giúp phục hình răng sứ đạt hiệu quả thẩm mỹ đi đôi với sức khỏe lâu dài.