Mắc sai lầm khi mặc áo chống nắng, cô gái Quảng Ninh ngã gãy xương

Trên đường đi, người phụ nữ bị ngã vì áo chống nắng cuốn vào bánh xe, gây gãy xương và phải nhập viện để điều trị.

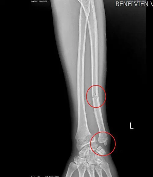
Thông tin từ Bệnh viện Việt Nam - Thụy Điển Uông Bí (Quảng Ninh) cho biết, một phụ nữ 28 tuổi vừa nhập viện cấp cứu sau khi bị ngã do áo chống nắng bị cuốn vào bánh xe máy trong quá trình di chuyển. Sau khi tiến hành chụp chiếu, phát hiện nữ bệnh nhân này bị gãy tay. Hiện đã tiến hành phẫu thuật và tình trạng sức khỏe đang ổn định, tiếp tục được theo dõi.

mac-sai-lam-khi-mac-ao-chong-nang-co-gai-bi-nga-gay-xuong-1
Hình ảnh gãy xương của cô gái (Ảnh: BVCC)

Các bác sĩ cảnh báo rằng việc mặc áo chống nắng không đúng cách khi tham gia giao thông có thể gây ra nguy hiểm, thậm chí làm ảnh hưởng đến tính mạng. Áo chống nắng, mặc dù là vật dụng quen thuộc khi ra đường, không chỉ giúp tránh nắng mà còn phòng ngừa nguy cơ cháy nắng, chặn tia UV và giảm nguy cơ mắc các bệnh về da như ung thư. Tuy nhiên, việc mặc áo chống nắng rộng, không cài nút, không che kín chân hoặc tà áo quá dài sẽ tạo ra rủi ro khi tham gia giao thông.

Dưới đây là một số lưu ý khi chọn áo chống nắng:

- Tránh mặc áo chống nắng quá rộng, che kín đến chân, để tránh gây trở ngại trong việc xử lý tình huống khi tham gia giao thông. Áo váy chống nắng dài cũng có thể bị quấn vào bánh xe máy khi ngồi phía sau, có thể gây nguy hiểm nếu người điều khiển phương tiện bị áo kéo lùi mạnh, dẫn đến ngã xe.

mac-sai-lam-khi-mac-ao-chong-nang-co-gai-bi-nga-gay-xuong-2
Không nên mặc áo chống nắng quá rộng (Ảnh minh họa)

- Hãy luôn kéo khóa khi mặc áo chống nắng để tránh tình trạng áo bị cuốn vào bánh xe, có thể gây tai nạn cho bạn và người khác.

- Không nên trùm kín mũ áo chống nắng lên đầu hoặc đội lên trên mũ bảo hiểm vì điều này có thể hạn chế tầm nhìn khi tham gia giao thông. Sử dụng quá nhiều phụ kiện chống nắng như áo, mũ, khẩu trang cũng có thể làm giảm khả năng quan sát của bạn. Đặc biệt, việc che đậy kín có thể làm giảm khả năng nghe thấy tiếng còi từ phía sau hoặc nhận biết các âm thanh cảnh báo khác.

Làm thế nào để mặc áo chống nắng một cách an toàn và hiệu quả?

Để tránh các tai nạn không mong muốn, chúng ta nên lựa chọn áo, váy chống nắng với kiểu dáng không quá dài và rộng. Nếu cần, có thể điều chỉnh chiều dài để tránh việc áo quét đất và bị mắc kẹt vào bánh xe. Khi ngồi trên xe hoặc điều khiển, hãy luôn kéo khóa, vén áo gọn gàng và kiểm tra kỹ trước khi bắt đầu di chuyển.

mac-sai-lam-khi-mac-ao-chong-nang-co-gai-bi-nga-gay-xuong
Cách sử dụng áo chống nắng an toàn (Ảnh minh họa)

Để tránh nguy cơ tai nạn, lựa chọn váy, áo chống nắng bó sát nhưng vẫn đảm bảo khả năng chống nắng. Độ dài tối ưu là đến mắt cá chân. Khi ngồi, tránh để áo váy trùm phần sau xe để tránh tình trạng bị mắc kẹt gây nguy hiểm.

Chất liệu vải cũng rất quan trọng, tránh các loại váy quây làm từ vật liệu thun mềm, vì chúng có thể bị cuốn vào bánh xe khi đang điều khiển xe. Bên cạnh đó, khi sử dụng các phụ kiện chống nắng khác, hãy đảm bảo rằng chúng không ảnh hưởng đến tầm nhìn hoặc âm thanh, để bạn có thể dễ dàng quan sát và nghe các cảnh báo từ các phương tiện khác trên đường.

Hằng